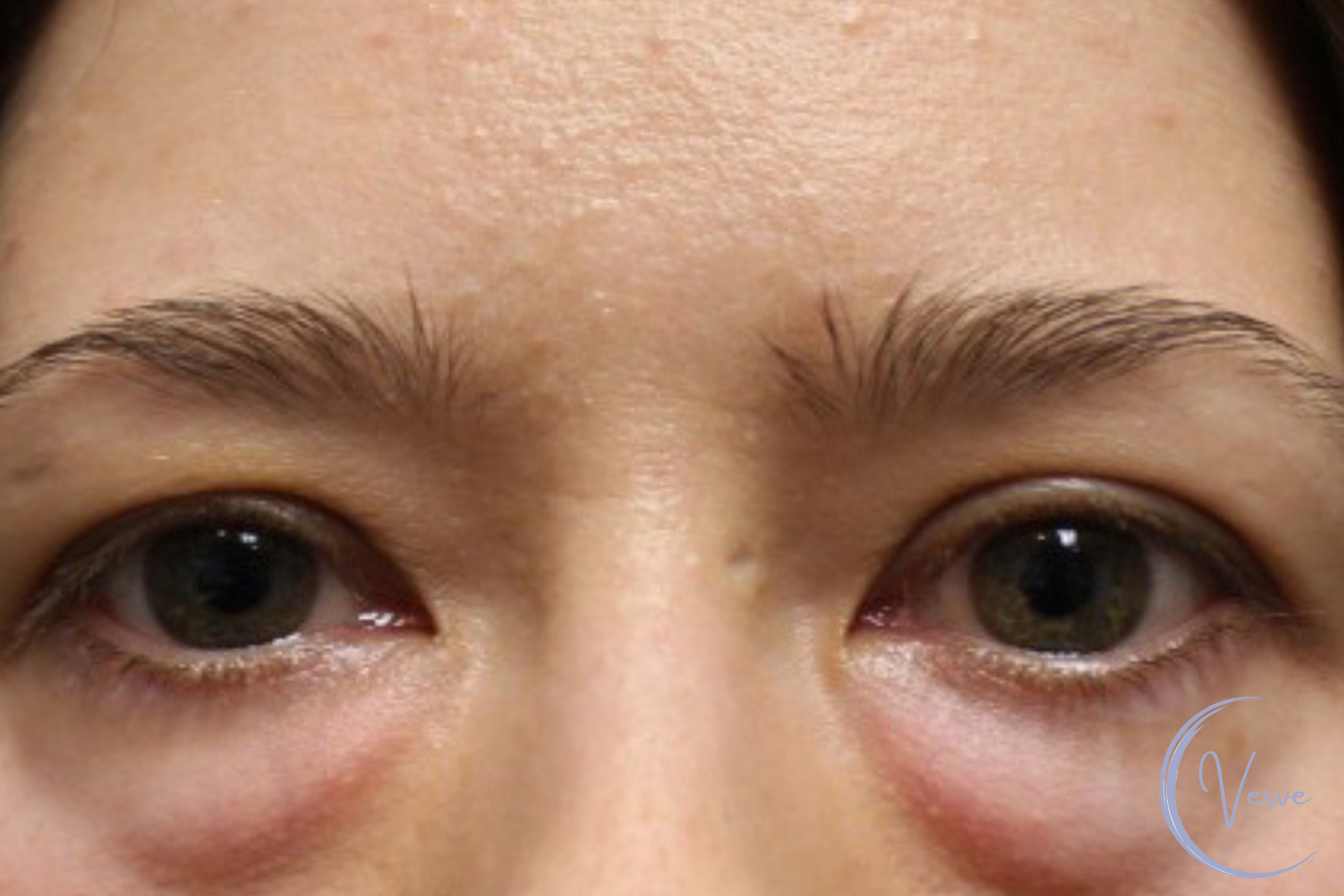
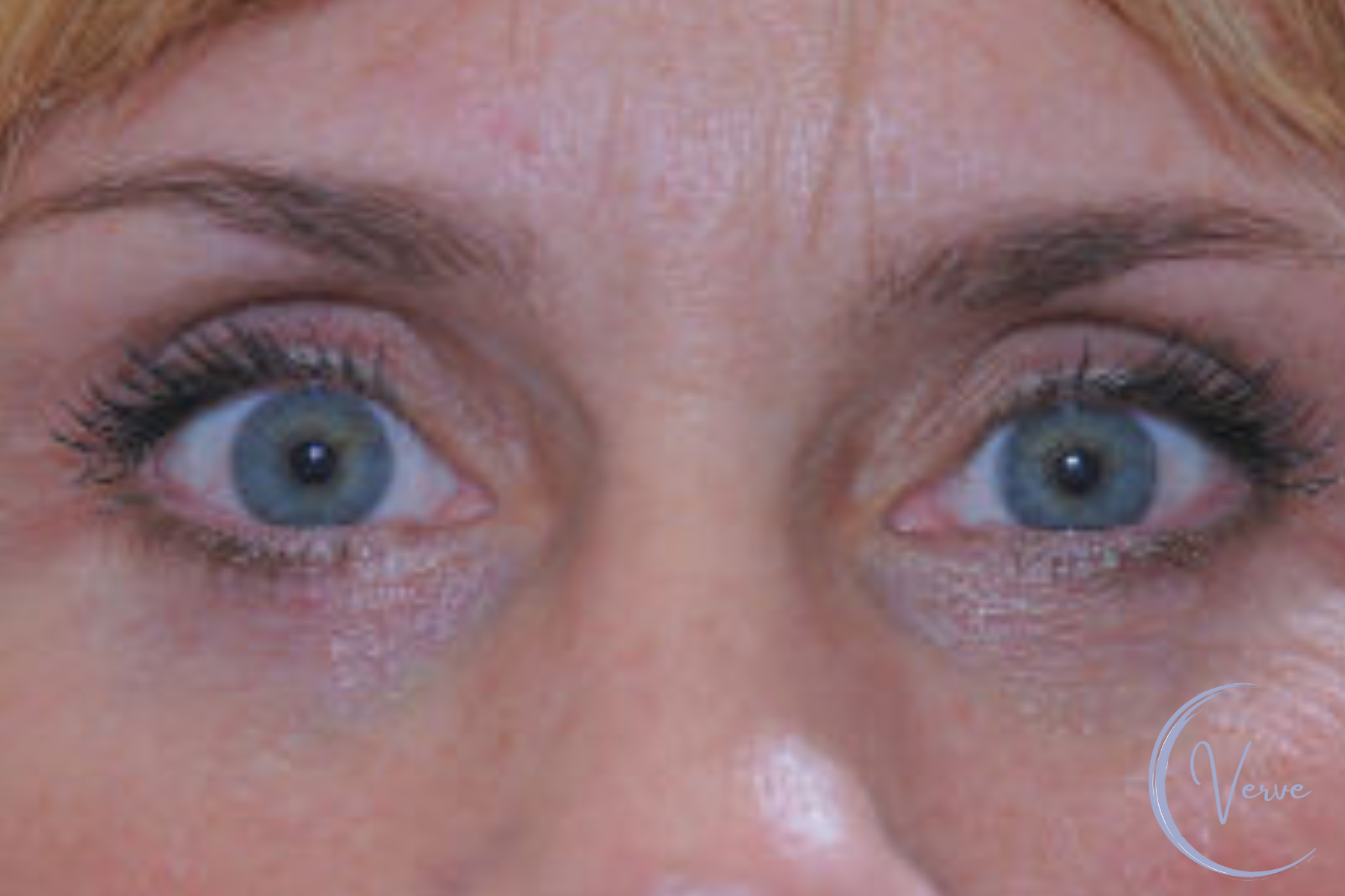
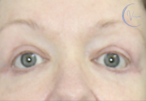
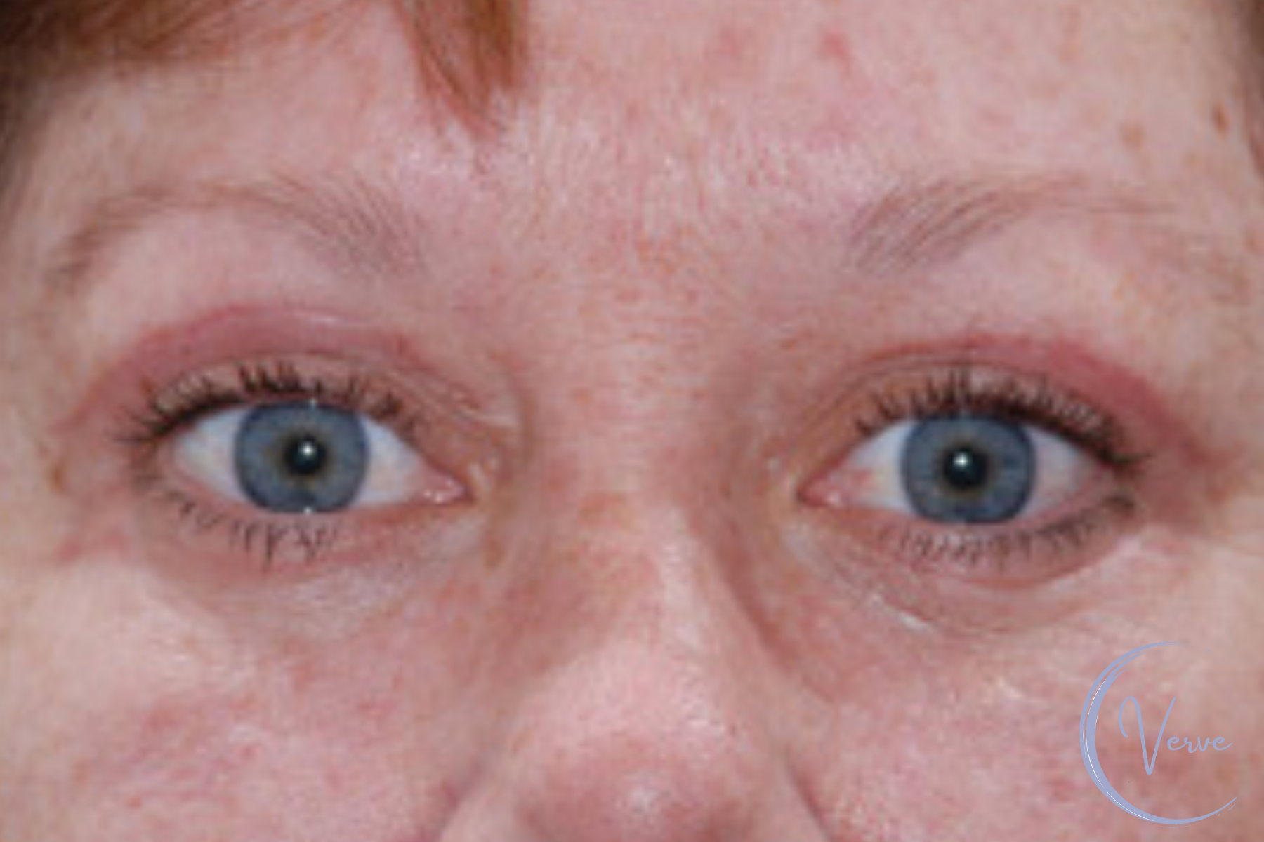
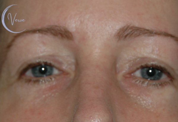
Eyelid Gallery
For additional patient photos, please contact us to schedule a consultation. To respect patient confidentiality, we do not share all facial before-and-after photos online.
Book a consultation!
info@verveplasticsurgery.com
(760) 436-7600
700 Garden View Court STE 208
Encinitas, CA 92024
